577天无进展、转移灶消失……DC疫苗:免疫抗癌的 “王炸”
引言
在人类对抗疾病的漫长历程中,疫苗始终是浓墨重彩的一笔。从天花疫苗终结肆虐千年的瘟疫,到 HPV 疫苗为女性筑起宫颈癌防线,疫苗的力量早已深入人心。
而在凶险的肿瘤战场,一种名为 “肿瘤疫苗” 的治疗手段正悄然崛起,其中,树突状细胞(DC)疫苗凭借独特的机制,成为改写患者命运的新希望。

肿瘤疫苗:不止于预防,更能主动抗癌
提到肿瘤疫苗,很多人会想到 HPV 疫苗(预防宫颈癌)或乙肝疫苗(降低肝癌风险)—— 这些属于预防性肿瘤疫苗,通过提前激活免疫系统,阻断致癌病毒的 “偷袭”。但还有一类更令人期待的疫苗:治疗性肿瘤疫苗。
与预防性疫苗不同,治疗性肿瘤疫苗的目标是 “主动出击”:它们能唤醒人体免疫系统对癌细胞的 “识别能力”,调动免疫细胞精准攻击肿瘤,属于一种 “主动免疫疗法”。
目前,治疗性肿瘤疫苗家族成员众多,包括 DNA 疫苗、mRNA 疫苗、多肽疫苗等,而 DC 疫苗正是其中最具潜力的 “新星”。
功能最强的 “抗原递呈细胞
要理解 DC 疫苗,先得认识它的核心 —— 树突状细胞(DC 细胞)。
1973 年,加拿大科学家拉尔夫・斯坦曼发现了一种外形独特的细胞:细胞膜上伸出许多类似神经细胞的 “树突”,因此得名 “树突状细胞”。
后来的研究证实,DC 细胞是免疫系统里的 “顶级侦察兵”:它们像巡逻兵一样在体内游走,一旦发现癌细胞、病毒等 “入侵者”,就会迅速捕捉并处理这些 “坏分子” 的特征(抗原),然后将情报传递给免疫系统的 “主力军”——T 细胞,指挥 T 细胞分化成能精准杀敌的 “效应 T 细胞”(包括辅助性 T 细胞和细胞毒性 T 细胞)。
作为体内功能最强的 “抗原递呈细胞”,DC 细胞堪称免疫系统的 “启动器”,这也是它能成为疫苗核心的关键原因。

DC 疫苗如何 “训练” 免疫系统?
DC 疫苗的诞生,源于科学家对 DC 细胞功能的巧妙利用。它的制作过程像一场 “精密的免疫特训”:
1、提取与改造:先从患者体内取出未成熟的 DC 细胞,在体外 “特训”—— 让它们 “记住” 癌细胞的特定抗原(比如肿瘤相关抗原);
2、回输与激活:将这些 “加载了情报” 的 DC 细胞送回患者体内,它们会迅速成熟,然后向 T 细胞传递 “敌情”,激活大量 T 细胞;
3、精准打击:被激活的 T 细胞会像 “特种兵” 一样,精准识别并消灭带有特定抗原的癌细胞。
具体来说,DC 疫苗的抗癌机制有四大核心:
· 超强 “情报传递”:高效将癌细胞特征传递给 T 细胞,启动免疫反应;
· 激活 “专属部队”:诱导 T 细胞分化成能精准杀癌的细胞毒性 T 细胞;
· 打破 “免疫耐受”:有些癌细胞会 “伪装” 逃避免疫系统,DC 疫苗能撕破伪装,让免疫系统重新 “警觉”;
· 修复免疫防线:不仅杀敌,还能整体增强免疫系统的抗癌、抗病毒能力。
临床案例
近年来,越来越多的临床研究证实了 DC 疫苗的实力,从晚期肿瘤到难治性转移,它屡屡带来惊喜。
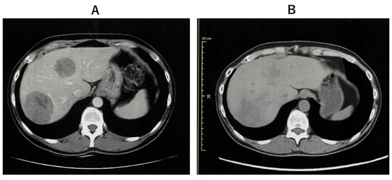
案例1:晚期肺癌全身转移,治疗后 577 天无进展
2023 年 10 月,国际期刊《Cureus》发表了一则 WT1-DC 疫苗治疗晚期肺癌的案例:69 岁男性患者确诊 “右肺中叶 IV 期鳞状细胞癌”,伴随肾上腺、肝、骨等多处转移,无法手术和放疗。医生采用 WT1-DC 疫苗联合化疗方案治疗后:

1、患者的免疫指标持续改善(淋巴细胞比例上升、炎症指标下降);
2、第 338 天胸部 CT 显示,原发和复发病灶缩小;
3、第 479 天 PET-CT 仅残留两个小转移灶,截至报道时,患者无进展生存期已超 577 天,生活正常。

案例2:难治性宫颈癌转移灶消失,免疫功能恢复
小细胞未分化宫颈癌进展快、易耐药,预后极差。《Cureus》报道了一则突破性案例:一位 50 多岁的患者术后出现肝、淋巴结多处转移,化疗失败后,采用 WT1-DC 疫苗联合放疗: 1、第 67 天(注射第 5 剂疫苗后),CT 显示肝转移灶完全消失; 2、免疫指标(中性粒细胞 / 淋巴细胞比值等)恢复正常,原本因化疗受损的免疫功能显著改善。 案例3:胰腺癌患者中位生存期突破3年,7人成功手术 胰腺导管腺癌被称为 “癌王”,对放化疗天然耐药。《癌症免疫治疗杂志》的一项研究带来了新希望:10 例不可切除的胰腺导管腺癌患者(6 例 III 期局部晚期、3 例 IV 期转移性、1 例术后复发)采用 WT1-DC 疫苗联合化疗后: 1、所有患者肿瘤负荷下降,7人达到部分缓解,3人长期稳定; 2、9例患者中位无进展生存期 2.23 年,中位总生存期更是突破 3.52 年,远超传统治疗的预期。 3、 7 例成功接受了转化手术,其中 6 例实现 R0 切除(肿瘤完全切除,无残留),1 例为 R1 切除(镜下有残留)。 案例4:晚期十二指肠癌 4.3 年无进展,恶性腹水消失 十二指肠癌占胃肠道癌症的 0.3%-0.5%,虽发病率低但侵袭性强,易快速扩散,根治性手术是唯一可能治愈的手段,但晚期患者往往失去手术机会,且针对恶性腹水缺乏有效治疗方案。 《Cureus》曾报道一则案例:一位 72 岁的晚期十二指肠癌患者,腹膜播散伴恶性腹水,化疗失败后接受 WT1/MUC1-DC 疫苗联合细胞疗法: 1、第 8 次治疗后,恶性腹水消失,腹胀、水肿等症状消退; 2、原发病灶和转移淋巴结缩小,截至报道时,肿瘤 52 个月未进展,患者未出现严重副作用,且能正常活动。 锐赛EP-DC(医迪泰)是一种通用型的DC细胞疫苗,可靶向激活免疫系统对22种常见肿瘤抗原的免疫反应。产生强大免疫应答(CD4+/CD8+)识别所有肿瘤抗原,并覆盖广泛HLA类型。 当向患者给药时,医迪泰诱导的免疫应答有可能识别及破坏体内的癌细胞并向免疫系统持续提供支持和记忆,以便其能够持续靶向及预防癌症复发的可能。 2025年初,顶尖期刊Small Science(IF 12.7)发表了美嘉体育首席科学家范小勇教授与复旦大学附属上海市公共卫生临床中心研究组、南方科技大学附属深圳市第三人民医院/国家感染性疾病临床医学研究中心研究组的合作研究,题为“Dendritic Cell Vaccine Harboring Inactivated Mycobacteria Induces Immune Protection Against Tuberculosis in Murine Models and is Well Tolerated in Humans”。 本研究在上海市重大传染病和生物安全研究院官网的报道 该项临床研究使用了锐赛自主知识产权的新一代EP-DC疫苗技术。此前,这一创新技术已在多项抗肿瘤、抗HPV病毒治疗的临床研究中被证明有效。本次研究是EP-DC技术在结核病临床研究的重磅亮相。 美嘉体育负责制备DC 范小勇教授团队的突破性研究,首次证实DC细胞应用有望成为预防和治疗结核病的新策略。同时也揭示了新一代EP-DC疫苗技术可以在感染疾病的全病程治疗中发挥重大作用。 随着论文的发表,说明锐赛新一代EP-DC疫苗技术的应用场景已从肿瘤治疗的最后防线,扩展至疾病预防、病原微生物清除、病理进展逆转、疾病辅助治疗和术后防复发的全流程。


锐赛EP-DC疫苗技术的突破性应用



